
オールオン4とは、歯を全て失った場合に、片顎4本のインプラントを埋め込み、10~12本分の人工歯を固定する治療法です。従来のインプラント治療に比べて、手術回数や費用を抑えられ、手術当日に仮歯を装着して噛む機能を取り戻せるのが特徴です。

概要
オールオン4は、インプラント治療の一種で、特に総入れ歯の方や多くの歯を失った方が対象となります。
特徴
・片顎に4本のインプラントを埋め込むことで、10~12本分の人工歯を支えます。
・手術当日に仮歯を装着し、食事や会話が可能になります。
・骨を増やす手術(骨移植)が必要となるケースが少ないため、手術時間や費用を抑えられます。
・従来のインプラント治療に比べて、手術の負担を軽減できます。
メリット
・手術当日に噛めるようになる。
・入れ歯のような違和感が少ない。
・発音や会話がスムーズになる。
・審美的な回復が期待できる。
デメリット
・自由診療のため、費用がかかる。
・手術後のメンテナンスが必要。
・健康な歯が残っている場合、抜歯が必要になる。
オールオン4がおすすめな人
・上顎または下顎の歯が1本もない方
・ほとんどの歯を失った方
・総入れ歯を使用している方
・重度の歯周病にかかっている方
・重度の虫歯で回復が見込めない方
・顎の骨がやせてしまっている方
・早く歯を入れたい方
・通常のインプラントでは本数が多く、費用や治療期間が心配な方
その他
・医療費控除の対象となる場合がある。
・治療期間は、インプラントが骨に結合する期間を含め、数ヶ月程度かかる。
・オールオン4は、インプラント治療技術に加え、審美治療や噛み合わせの治療、技術の高い歯科技工士が必要となる難しい治療です。
・All-on-4®治療コンセプトは、ノーベルバイオケア社のソリューションです。
・オールオン4は、ポルトガルの医師Dr.パウロ・マロが開発したインプラントシステムです。

ストローマン社製インプラントで治療するオールオン4をプロアーチ®と言います。
当院では主にストローマン社製インプラントで行うオールオン4 つまりプロアーチを推奨しています。ザイゴマインプラントはストローマン社製、ノーベルバイオケア社製の両方を症例によって使い分けています。
当院のオールオン4が選ばれる理由
・経験豊富な専門医による施術 → 多くの症例実績を持つ医師が担当
・最新設備を完備 → CTスキャン・顎骨3Dプリンタによる患者様の実寸大模型の院内作製・3Dシミュレーションで正確な診断

・痛みを抑えた治療 → 静脈内鎮静法によりリラックスした状態で手術可能
・アフターケアも万全 → 定期検診とメンテナンスで長持ちする治療をサポート
当院では、患者様の「しっかり噛める」「自然な見た目」「快適な生活」を実現するため、最善の治療を提供しております。
オールオン4 Q&A 院長がYouTubeで解説
動画の内容
①全身麻酔でオールオン4⁉️ 痛みは⁉️
②オールオン4の仮歯はどんな見た目⁉️
③オールオン4のシミュレーションはどうやる⁉️
④ザイゴマインプラントとは⁉️
オールオン4で顔が変わる!?
オールオン4治療を受けると、顔の印象が変わることがあります。特に、歯を失ったことによる顎の骨の吸収や、噛み合わせの悪さが原因で顔の輪郭や表情に変化が生じている場合、オールオン4によってそれらが改善されることで、顔の印象が若々しくなる可能性があります。

顔が変わる理由
顎の骨の吸収の抑制
歯を失うと、顎の骨は刺激がなくなるため、徐々に吸収されていきます。オールオン4では、インプラントが顎の骨に固定されるため、骨の吸収を抑制し、顔の輪郭を維持する効果が期待できます。
噛み合わせの改善
噛み合わせが悪いと、顔の歪みや顎関節の不調、表情筋のバランスの崩れにつながることがあります。オールオン4によって噛み合わせが改善されると、顔全体のバランスが整い、フェイスラインがシャープになることがあります。
口元の印象の変化
歯が支えとなっていた部分にボリュームが戻ることで、口角が上がったり、ほうれい線が目立たなくなるなど、口元の印象が若々しくなることがあります。
表情筋の活性化
噛む力が回復することで、表情筋が鍛えられ、顔全体の筋肉のバランスが整うことで、たるみやシワが目立たなくなることがあります。
顔が変わる可能性のあるケース
・歯を複数失っている場合
・顎の骨が痩せている場合
・噛み合わせに問題がある場合
・総入れ歯を使用している場合
注意点
・治療直後は、腫れやむくみで一時的に顔が変わることがあります。
・上部構造の適合が悪いと、違和感や不自然な見た目になることがあります。
・長期間使用すると、上部構造の摩耗や変色が発生する可能性があります。
まとめ
オールオン4は、歯を失ったことによる顔の変化を改善する効果が期待できる治療法です。
しかし、治療を受ける際には、歯科医師とよく相談し、メリットだけでなく、デメリットや注意点についても理解しておくことが大切です。

オールオン4にした方が良い人。普通のインプラントにした方が良い人。
自分に適した治療はオールオン4?それとも普通のインプラント?どっち?
診断の基準は
◎歯だけを失っているのか?
◎歯と歯肉を失っているのか?
◎歯と歯肉と骨の全てを失っているのか?
健康な歯が5本以下で歯茎が痩せて入れ歯の安定も難しい状態の方は、残っている全ての歯を抜歯してでも「オールオン4」にするのが適している場合があります。健康な歯を抜歯してまで「オールオン4」が良い?と疑問に感じる方もいるかと思いますが、理由は
①痩せた歯茎を増やす手術は上顎の裏からくり抜いた歯肉を移植したり人工骨を使用して痩せた歯茎のボリュームを増やすわけですが、時間と費用と痛みを伴う治療だからです。
②歯茎が痩せている方に普通のインプラント治療をすると、最終的に入る人工歯は長い歯になってしまい、笑った時に上唇が上がると歯茎が痩せている分だけ長い歯が入っている仕上がりになってしまいますから審美的な問題が生じます。

また、歯間乳頭も喪失した状態なため本来であれば歯と歯の間は三角形の歯肉(歯間乳頭)で埋まっているのですが、喪失しているため歯と歯の間にブラックトライアングル(歯間乳頭が無いためにスキマから口腔内の暗さが黒い三角形に見える現象)というスキマが出来て、息が漏れたり食べ物が挟まりやすくなったりします。

歯を失うと歯肉が痩せるだけでなく、歯と歯のスキマに存在した三角形の歯肉(歯間乳頭)も失って歯肉の高さは低くなり厚みは薄くなり平らになります。

オールオン4であれば、人工歯と人工歯肉が一体式になっていますから、歯肉も歯列も綺麗な見た目に改善できるわけです。
部分入れ歯だと残っている自分の歯にハリガネを引っ掛けて自分の歯と入れ歯の歯と歯肉が混在した仕上がりになり見た目が不自然になりますが、全ての歯を失った総入れ歯だと逆に全ての歯と歯肉を人工物で見た目を改善できるので審美的に仕上がるのと同じです。


例えば前歯1〜2本が残っていて他の歯は全て失っているとします。前歯を抜かないで普通のインプラント治療をすると、元々の前歯の部分とインプラントの歯の長さや歯並びや歯肉との連続性が調和せず、仕上がりが審美的にならない傾向にあります。下手に少ない本数の歯が残っているなら抜歯した方がメリットが大きいという事です。歯科医学的には戦略的抜歯と言います。

例えば上の図の様に下顎に2本の犬歯が残存する症例。
歯列は3カ所に分断され、計6本のインプラントが必要になる。健康な歯だとしても抜歯すれば4本のインプラントでオールオン4が可能となる。
- ①前歯部分のインプラントは10ミリ以上の長さのインプラントを入れられる骨量があること。
- ②奥歯部分のインプラントは傾斜埋入した時に長さ13ミリ以上かつ直径4ミリ以上のインプラントを入れられる骨量があること。
- ③上記の①②の条件を満たした時に唇側の骨量が2ミリ以上あること。
- ④上記の条件を満たさない場合にはインプラントを1〜2本追加で埋入して「オールオン5」「オールオン6」となったり増骨手術をしたりします。
場合によっては非常に長いザイゴマインプラントを頬骨(ほほの骨)に傾斜埋入します。
ザイゴマインプラント画像 - ⑤全ての歯を抜歯した後に凸凹になった顎骨を健康な部分を含めて削除して骨の平坦化をスマイルラインの上唇より内側に削除面が隠れる位置まで行う必要があります。
ボーンリダクションという手術になりますが最終的に入る人工歯と人工歯肉の付け根(トランジションラインと言う)が笑った時の上唇のラインの内側に隠れるようにするために必要になります。
画像①や②のオールオン4の上部構造の付け根が笑った時に見えてしまうと審美的に不自然になってしまうので当院のオールオン4はスマイルラインより上に付け根が隠れるように埋め込み手術の時点で逆算して骨の高さの平坦化と削除、整形を同時に行っています。
オールオン4上部構造の付け根はスマイルラインの唇の内側。つまり青の破線の位置に設置されるように手術前に計画して治療開始します。この治療例ではセラミックではなくプラスチックで作った仮歯です。最終的にはこの画像より自然な歯と歯肉で仕上がります。
ボーンリダクションを行わないと下の画像のように審美性に問題が出てしまいます。
リダクション不足により審美障害を認めた症例
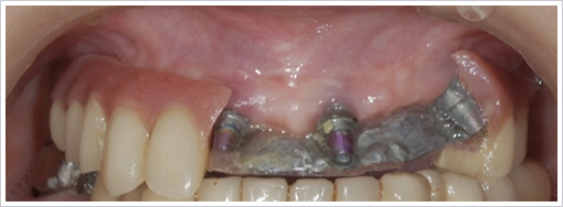
ノーベルバイオケア社のオールオン4®又はストローマン社のオールオン4(プロアーチ®)と他社製インプラント4本の上に全ての歯を乗せただけの治療とは全く違う治療です。


偽物・激安オールオン4治療の末路について。CTで確認すると骨量が充分にあるのですが細くて短いインプラントが7本入っている状態でした。オールオン4治療には必須の角度補正のSRAアバットメント(別名マルチユニットアバットメント)も装着されていない状態で偽物オールオン4というかオールオン7?上部構造の人工歯はわずか3年で真っ二つに割れてしまった。下の歯の治療も放置された状態で来院。
激安オールオン4 ・インプラント医院の院長や経営者、管理者には過去に逮捕歴がある歯科医が数名いますので
必ず「管理者や院長の氏名+歯科医師+逮捕」で検索してみて下さい。
激安には理由があります。

- ① かなり長いインプラントを斜めに埋め込まなければならない
- ② 日本人の顎骨は薄いのでALL ON 4は適さずALL ON 6でなければ無理な場合が多い。
- ③ 歯も歯肉も人工物になるため発音がし辛くなることがある。
- ④ 4本のインプラントで総入れ歯を支えるので、インプラントが1本でもダメになると総入れ歯をすべて作り直す可能性が高い
さすがに3本インプラントでは支えられない。
※通常のインプラント治療では「右奥」「前歯」「左奥」の3分割に区切って歯を完成させるので、10年以上も経過してインプラント1本に不具合が生じても部分的に再治療が可能。 - ⑤ALL ON 4は4本のインプラントで10~12本の歯を支えます。通常、人間の歯は14本なので左右の奥歯が2本づつ、計4本の奥歯が足りてない状態で完成なので咬み応えの満足感は通常のインプラント治療より低いです。つまりオール(全ての歯)ではないのです。
- ⑥抜かなくても良い健康な歯が残っている場合は全て抜歯しなければ治療できません。

下顎に2本の犬歯が残存する症例。歯列は3カ所に分断され、計6本のインプラントが必要になる。
残存する2本の犬歯を抜歯しなくてはならなくなる。
以上がALL on 4(オール オン 4)の欠点およびデメリットです。
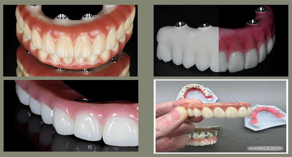
3Dプリンタによる顎骨模型の作製
最近では3D関連の技術が進歩しています。そのため手術を事前にコンピューター画面上でシミュレーションするソフトが当院にはあります。
更に当院では骨量が少ない難症例の場合には患者さんのCT情報から3Dプリンタを使用して3D顎顔面の骨の実寸大の模型を作り治療に役立てています。

これにより手術前に患者さんの顎骨、頭蓋骨とほぼ同じ模型を手に入れることができるのです。当院では難症例の場合には、この模型の骨を使って模擬手術をするようにしています。
模型があれば、実際に患者さんの手術をする時には担当医は、既にその患者さんの手術をしたことがある状態なので、2回目の手術をするようなイメージとなるわけです。
患者さんの解剖学的特徴や上顎洞の形態、顎骨の中を走る神経や血管を立体的に把握できていますので、担当医も患者さまも安心して手術を受けて頂くことができるのです。




3Dプリンタで作製した患者様の実寸大の模型
模型の骨を使った模擬手術
シミュレーション通りの手術が完了
シミュレーション通りの手術が完了1DAYインプラント・オールオン4・手術当日の流れ

-
10:00(ご来院)
手術前の同意書の確認。
-
10:30(手術前の準備)
口腔内クリーニング。
-
10:45(手術)
必要な場合は歯科麻酔医の立ち会いのもと静脈内鎮静又は全身麻酔を行います。
-
12:30
手術終了。 -
12:30〜13:00(型取り)
歯科技工士の立ち会いのもと当日の仮歯を作るための型取り。噛み合わせの確認。 -
13:00〜16:30(休憩)
患者様は当院の正面にあるJR東日本ホテルメッツ赤羽にて3時間ほど休憩して頂きます。部屋は当院が予約して費用も当院が負担いたします。
(この間に技工士がインプラントに装着する仮歯をスピード仕上げします。)
-
17:00(仮歯の固定)
固定式の仮歯をインプラントにネジ止め。噛み合わせ調整。 -
17:45(帰宅)
術後の注意事項説明書とお薬をお渡しします。次回の予約日(抜糸)を決めてご帰宅となります。
オールオン4の料金
オールオン4 最初にかかる費用のおおよその目安
術前検査〜手術〜仮歯装着 ¥2,134,000~¥2,189,000(税込み)
※上記は⼿術費⽤(局所⿇酔、投薬)、インブラント4本の費用、SRAアバットメント4本、即日装着の仮歯、6ヶ月までの経過観察費⽤、必要な場合は修理費⽤、6ヶ⽉までに⾻結合しない場合の再⼿術費⽤が含まれます。
※手術後4ヶ月後の最終的な本歯(上部構造)の費用は別途かかります。
最終的な上部構造(本歯)の種類一覧
| 本歯 |
![]()
|
オールオン4治療を受けるクリニックの選択基準とは?
- ① 全身麻酔、静脈内鎮静の両方の設備を完備した手術室があるか?
※ザイゴマインプラントは全身麻酔下でないと精度の高い手術は難しいと言われています。全身麻酔器を完備している歯科クリニックは東京都内でも5~6件しかありません。

- ② オールオン4手術の中でも最も難しい技術を必要とするザイゴマインプラント手術の実績もあるか?在庫も確保してあるか?

- ③ 使用メーカーはストローマン、ノーベルバイオケアを使用しているか?日本国内ではザイゴマインプラントはノーベルバイオケアのみ販売されています。当院ではスイス本国からストローマン社のザイゴマインプラントも輸入して患者様の骨の状態によって適切なザイゴマインプラントを使い分けています。
- ④ 手術中の迅速な止血を実現する高周波手術装置バイポーラやレーザーを完備しているか?オールオン4手術では出血が多いと術野が狭くなり手術の精度が下がります。手術中の迅速な止血が精密かつ手術時間の短縮につながり患者様の肉体的な侵襲も少なくできます。

- ⑤ 顎骨3Dプリンタを完備しているか?

- ⑥ 在籍している麻酔科医は全身麻酔の実績もあるか?
- ⑦ 担当医の症例写真は豊富にあるか?クリニックの症例写真では意味が有りません。自分の担当医の症例写真を確認しましょう。
- ⑧ 「教授が在籍と記載されているがクリニックにはほぼ不在だった」というような誇大広告はないか?
※予約の前に電話で必ず教授が初診から手術その他の治療を担当するか確認しましょう!
激安オールオン4 ・インプラント医院の院長や経営者、管理者には過去に逮捕歴がある歯科医が数名いますので 必ず「管理者や院長の氏名+歯科医師+逮捕」で検索してみて下さい。
激安には理由があります。
また教授または元教授だからと言って手術が上手いとは限らないです。むしろ下手だったりするので注意が必要です。 - ⑨ 担当医は45歳以上か?オールオン4 はインプラント治療の中でも難しいとされる治療です。インプラント治療歴15年以上は必要です。
- ➉ スタッフの人数は充分にいるか?オールオン4手術には多数のスタッフが必要です。
- ⑪ オールオン4専門の技工士と提携しているか?オールオン4は技工士の技術の差が自然な見た目の仕上がりに大きく影響します。

全身麻酔法と静脈内鎮静法との違い
気道管理を確実に行える全身麻酔法は、患者さんは眠っていますので痛みや不安を感じることなく快適な治療が受けられます。歯科麻酔科医にとっては確実な全身管理を行うことができ、術者となる歯科医師は確実な治療を提供できる3者にとって大きなメリットをもたらします。
特に静脈内鎮静法が適応できない患者さんには全身麻酔が安全です。静脈内鎮静法だけではコントロールの難しい異常絞扼反射(嘔吐反射)がある患者さんは、歯の切削中の急な体動によってタービンやエンジンで口唇や頬粘膜、舌を巻きこむリスクは高く、歯科治療や手術そのもので偶発症を引き起こす危険度が高まります。静脈内鎮静法で使用する薬剤をたくさん使うと呼吸管理が難しくなり、帰宅時間が遅くなるという様々なデメリットが生じます。
このようなケースでは、無理して静脈内鎮静法を行うより「日帰り全身麻酔」を活用したほうが、安全で快適な歯科治療を提供できるのです。















