|
当院ではオールオン4の最終的に入る歯の ![]() ![]() ![]() ![]() |
歯を全て失った患者様です。
笑った時でも付け根は見えない設計で手術計画を立てます。歯肉も歯も自然な見た目です。
固定式の仮歯は手術当日に入ります。最終的に入るセラミックの歯は4ヶ月後に入ります。 |
治療費(内訳)
上あごオールオン6 ¥4,763,000
下あごオールオン6 ¥4,763,000
合計 ¥9,526,000(税込価格)
※自由診療となります。
※インプラントに固定式の仮歯は手術の当日中に入ります。
注意点・副作用:外科手術です。
術後は腫れ、痛み、出血を伴う可能性があります。
1回目の手術でインプラントが骨と結合しないことがあります。
ごく稀に顔にアザが2週間程度出ることがあります。
歯肉や骨の状態によって治療結果には個人差があります。
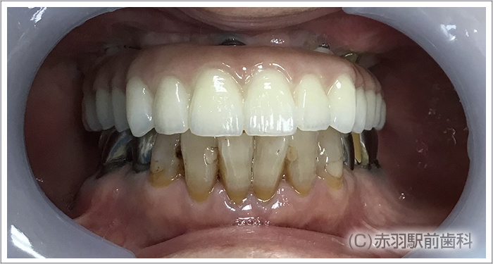
歯を全て失った患者様です。歯だけでなく歯肉も非常に痩せてしまったため、通常のインプラント治療ではなく歯と歯肉の両方を審美的に回復できるオールオン4~6治療の適用となりました。 ![]()
↑上顎
↑上顎
↑下顎の歯はハードレジン製の連結した人工歯です。経年劣化によって汚れがついてきたり摩耗するデメリットがあります。 ![]()
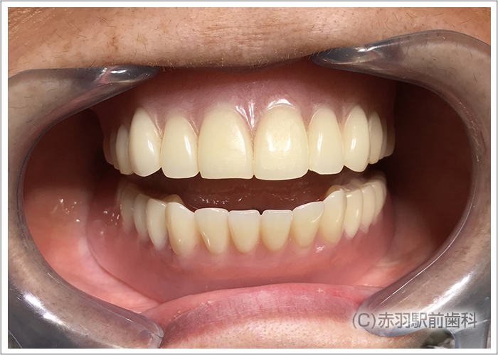
仮歯の段階で笑った時に前歯がどれくらい見えるか?横顔から見たときの前歯の角度などを患者様の希望を聞いて歯の形や歯並びを決めていきます。
笑った時でも上部構造の人工歯と人工歯肉の付け根は見えない設計で手術計画を立てます。歯肉も歯も自然な見た目です。他人から見てもインプラントとは判別できません。 |
治療費(内訳)
上あごオールオン6 ¥4,763,000
下あごオールオン6 ¥3,839,000
合計 ¥8,602,000(税込価格)
※自由診療となります。
※インプラントに固定式の仮歯は手術の当日中に入ります。
注意点・副作用:外科手術です。
術後は腫れ、痛み、出血を伴う可能性があります。
1回目の手術でインプラントが骨と結合しないことがあります。
ごく稀に顔にアザが2週間程度出ることがあります。
歯肉や骨の状態によって治療結果には個人差があります。
|
歯を全て失った患者様です。上下とも総入れ歯を入れていました。入れ歯が安定しないので食べるものも制限され会話もしづらい状態です。
CTデータから事前に3Dプリンターで、患者様の実寸代の顎骨模型を作成しておいて手術前にシミュレーションで担当医がインプラント埋入とSRAアバットを装着しておきました。画像は下顎の模型です。両サイドのインプラントはオールオン4特有の傾斜埋入をしてあります。
シミュレーション通りの位置にインプラント手術を完了しました。上下ともに両サイドのインプラントはオールオン4特有の傾斜埋入をしています。
インプラント手術完了後にSRAアバットを装着した状態の口腔内です。固定式の仮歯が当日に入ります。
上下に最終的な上部構造の人工歯をスクリュー固定した状態です。内部の見えない部分をチタンフレームで補強して歯肉をハイブリットセラミックで加工。人工歯はジルコニアの歯を1本ずつ仕上げて完成しました。
実際に笑った時の口元です。人工歯肉の付け根は、唇の内側に隠れて見えないように計算して治療していますので、インプラントだとは他人からは判別できないです。
![]() ![]() ![]() ![]() |
治療費(内訳)
上あごオールオン4 ¥4,081,000
下あごオールオン5 ¥4,422,000
合計 ¥8,503,000(税込価格)
※自由診療となります。
※インプラントに固定式の仮歯は手術の当日中に入ります。
注意点・副作用:外科手術です。
術後は腫れ、痛み、出血を伴う可能性があります。
1回目の手術でインプラントが骨と結合しないことがあります。
ごく稀に顔にアザが2週間程度出ることがあります。
歯肉や骨の状態によって治療結果には個人差があります。
|
上顎の歯が3本しかない患者様です。 ![]()
上顎の歯は全て抜歯してインプラントを入れます。
固定式の上部構造ジルコニアセラミックを装着します。
笑っても上部構造の付け根は上唇の内側にありますから見える事はありません。 ![]() ![]()
|
治療費(内訳)
上あごオールオン5 ¥4,422,000
左下インプラント2本+スクリューリテイン3連結ジルコニア・ブリッジ ¥1,012,000
合計 ¥5,434,000(税込価格)
※自由診療となります。
通院回数 14回
通院期間 7ヶ月
※インプラントに固定式の仮歯は手術の当日中に入ります。
注意点・副作用:外科手術です。
術後は腫れ、痛み、出血を伴う可能性があります。
1回目の手術でインプラントが骨と結合しないことがあります。
ごく稀に顔にアザが2週間程度出ることがあります。
歯肉や骨の状態によって治療結果には個人差があります。
|
初診時の状態です。上あごのオールオン4を希望して来院しました。 ![]()
上あごの歯は全てグラグラで保存不可能な状態でした。
上顎の歯を全て抜歯してオールオン4手術をしました。
オールオン4の最終的に入る上部構造です。フルジルコニアで作製しました。
歯の裏側の形態も発音や舌感を考慮してリアルに再現しています。
フルジルコニア製の最終的な上部構造を取り付けた口腔内です。 ![]()
今後は下顎もオールオン4治療を希望しています。 |
治療費(内訳)
上顎オールオン 4(フルジルコニア)
¥3,685,000(税込価格)
※自由診療となります。
通院回数 13回
通院期間 6ヶ月
※インプラントに固定式の仮歯は手術の当日中に入ります。
注意点・副作用:外科手術です。
術後は腫れ、痛み、出血を伴う可能性があります。
1回目の手術でインプラントが骨と結合しないことがあります。
ごく稀に顔にアザが2週間程度出ることがあります。
歯肉や骨の状態によって治療結果には個人差があります。
|
初診時の状態です。オールオン4を希望して来院しました。 ![]()
上下の歯を全て抜歯してオールオン4手術をしました。 ![]() ![]() ![]() ![]() ![]() ![]() ![]() ![]() ![]() ![]() ![]() 当院に完備してある3Dプリンタで作製した実寸大の顎の模型で術前シミュレーションを行います。 |
治療費(内訳)
上顎オールオン4(ジルコニアセラミック)
¥4,081,000(税込価格)
下顎オールオン4(ジルコニアセラミック)
¥4,081,000(税込価格)
※自由診療となります。
通院回数 上顎10回 下顎10回
通院期間 上下で9ヶ月
※インプラントに固定式の仮歯は手術の当日中に入ります。
注意点・副作用:外科手術です。
術後は腫れ、痛み、出血を伴う可能性があります。
1回目の手術でインプラントが骨と結合しないことがあります。
ごく稀に顔にアザが2週間程度出ることがあります。
歯肉や骨の状態によって治療結果には個人差があります。
上の歯を全て抜歯して6本のインプラントを入れました。
オールオン6の上部構造(フルジルコニア)。 ![]()
発音や舌感を少しでも違和感のないように歯の裏側の形態も再現します。 ![]()
笑っても上部構造の付け根は見えません。 ![]()
下の歯は保存可能な歯が残っていたので通常のインプラント治療をしました。 |
治療費(内訳)
上顎オールオン6(フルジルコニア)
¥4,367,000(税込価格)
下顎インプラント治療費
右下 ¥726,000(税込価格)
下前歯 ¥1,144,000(税込価格)
左下 ¥726,000(税込価格)
※自由診療となります。
通院回数 上顎10回 下顎10回
通院期間 上下で1年
注意点・副作用:外科手術です。
術後は腫れ、痛み、出血を伴う可能性があります。
1回目の手術でインプラントが骨と結合しないことがあります。
ごく稀に顔にアザが2週間程度出ることがあります。
歯肉や骨の状態によって治療結果には個人差があります。
![]() 下の歯を抜歯と同日にオールオン4手術をしました。 ![]()
手術当日にインプラントに固定式の仮歯も入ります。1DAYインプラントです。 ![]() ![]() ![]() ![]() ![]() ![]() |
治療費(内訳)
下顎オールオン4
¥3,685,000(税込価格)
即時義歯
¥55,000(税込価格)
静脈内鎮静
¥99,000(税込価格)
顎骨 3Dプリンタ模型
¥55,000(税込価格)
合計 ¥3,894,000(税込価格)
※自由診療となります。
通院回数 10回
通院期間 6ヶ月
※インプラントに固定式の仮歯は手術の当日中に入ります。
注意点・副作用:外科手術です。
術後は腫れ、痛み、出血を伴う可能性があります。
1回目の手術でインプラントが骨と結合しないことがあります。
ごく稀に顔にアザが2週間程度出ることがあります。
歯肉や骨の状態によって治療結果には個人差があります。
![]() 下の歯を抜歯と同日にオールオン4手術をしました。 ![]() 手術当日にインプラントに固定式の仮歯も入ります。1DAYインプラントです。 ![]() ![]() ![]() 上顎の前歯には通常のインプラント治療を行いました。 ![]() |
治療費(内訳)
下顎オールオン4
¥3,740,000(税込価格)
上前歯インプラント2本+スクリューリテイン4連結ジルコニア・ブリッジ
¥1,287,000(税込価格)
合計 ¥5,027,000(税込価格)
※自由診療となります。
通院回数 10回
通院期間 7ヶ月
注意点・副作用:外科手術です。
術後は腫れ、痛み、出血を伴う可能性があります。
1回目の手術でインプラントが骨と結合しないことがあります。
ごく稀に顔にアザが2週間程度出ることがあります。
歯肉や骨の状態によって治療結果には個人差があります。
|
初診時の口腔内です。歯を抜いた穴がなかなか塞がらない患者様でした。上顎の全ての骨がほとんど残っていない状態でしたのでインプラントの本数を増やし両奥歯にはザイゴマインプラントを入れる計画です。 ![]() ![]() ![]() ![]() 全体的に骨が非常に痩せていてオールオン4では咬合機能の回復は不可能と診断しました。治療計画は「オールオン5+ザイゴマインプラント2本」。 ![]() ![]() ![]() ![]() ![]() ![]() ![]() |
治療費(内訳)
上顎オールオン5+ザイゴマインプラント2本+上部構造フルジルコニア(本歯)
¥5,808,000(税込価格)
即時義歯
¥55,000(税込価格)
静脈内鎮静
¥99,000(税込価格)
顎骨 3Dプリンタ模型
¥55,000(税込価格)
合計 ¥6,017,000(税込価格)
※自由診療となります。
通院回数 12回
通院期間 9ヶ月
注意点・副作用:外科手術です。
術後は腫れ、痛み、出血を伴う可能性があります。
1回目の手術でインプラントが骨と結合しないことがあります。
ごく稀に顔にアザが2週間程度出ることがあります。
歯肉や骨の状態によって治療結果には個人差があります。
オールオン2 !?
![]() ![]() ![]() ![]() ![]() ![]() |
治療費
合計 ¥1,650,000(税込価格)
※自由診療となります。
注意点・副作用:外科手術です。
術後は腫れ、痛み、出血を伴う可能性があります。
1回目の手術でインプラントが骨と結合しないことがあります。
ごく稀に顔にアザが2週間程度出ることがあります。
歯肉や骨の状態によって治療結果には個人差があります。

































































